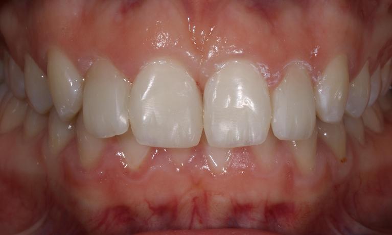
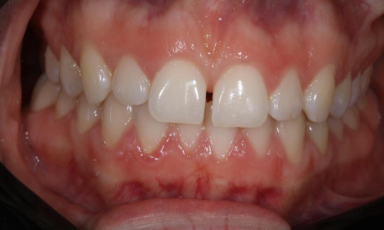
Veneers
Why Veneers?
Because veneers cover the front surface of your teeth they can disguise certain imperfections your teeth may have such as spaces between teeth, shortened teeth, teeth that are heavily stained and chipped or worn teeth.
They are also proven to improve appearance for teeth that have suffered trauma or even managed to shorten or break from grinding your teeth making the appearance look as close to its original form as possible.
The two types:
Composite Veneers:
Composite Is the filling we use when creating every day fillings for patients and the shade appears the same as your natural teeth. The only differences are cost wise it is more affordable as the process is similar to a normal filling and that they technically speaking don’t have the same glossy and translucent look or feel to the compared to porcelain option.
Porcelain Veneers:
As explained above even though the porcelain veneers can be more expensive than composite they do have that beautiful glossy finish. The procedure provides a bit of tweaking from our dentists to provide when the porcelain veneers arrive from BCI our lab upstairs that they function correctly with your bite, size wise look good visually and fit securely. As the process involves slight drilling of the natural tooth to then slip on the veneer with the shade that was selected during your examination with one of our dentists.
Benefits of having Veneers:
- They do not change colour over time as they are quiet resistant compared to natural teeth.
- Can cover imperfections like we covered earlier
- They tend to be more durable and scratch resident
- Because they are individually created by our dentists here they can make them look as life like as you prefer or try to achieve as close to your desired result as possible
- They take less time to undergo then if you were to choose orthodontics to create some teeth imperfections you may be concerned about.
Meet Our Doctors:
Dr Ka Sheng Loh BDs QLD
Dentist
Dr Loh started at Crotty Dental fresh out of graduation and has been officially been working alongside our other dentists for 3 and a half years now! Dr Loh qualified from the University of Queensland ...
Dr Janine Crotty BDS Adel.
Dentist
Tasmanian-born Dr Crotty graduated from the University of Adelaide, then returned to establish her dental practice on Macquarie Street in 1982. Dr Crotty has since developed a loyal client base over her 35 years of practicing ...