Crotty Dental
WE ARE OPEN SATURDAYS BY APPOINTMENT
Please Call us on 62247666, alternatively, book online anytime via Hotdoc.
For Routine or Emergency Appointments email us any time at: hobart@crottydental.com
A staff member will respond to your enquiry promptly!

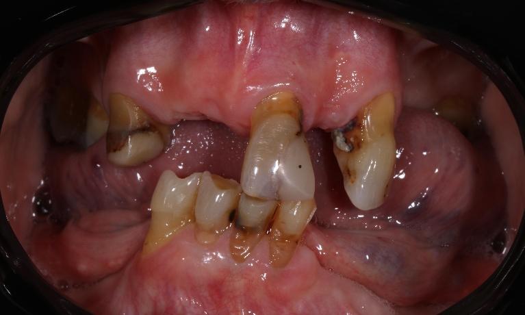
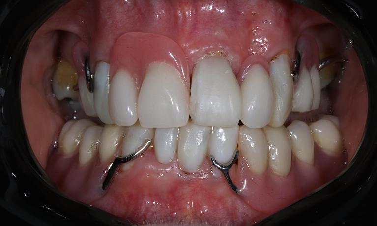
Smile Gallery

Smile Gallery Copy

*The images shown in our Smile Gallery are examples of dental treatments provided at our practice. Individual results will vary depending on each patient’s dental needs and circumstances.

Still need an appointment?
Any surgical or invasive procedure carries risks, and we recommend seeking a second opinion from an appropriately qualified health practitioner before proceeding.
Any surgical or invasive procedure carries risks. Before proceeding, you should seek a second opinion from an appropriately qualified health practitioner.