Skip to main content
WE ARE OPEN SATURDAYS BY APPOINTMENT
Please Call us on
62247666
, alternatively,
book online anytime via Hotdoc
.
For Routine or Emergency Appointments email us any time at:
hobart@crottydental.com
A staff member will respond to your enquiry promptly!
Crotty Dental
A Great Dentist
Book Online
Like us on Facebook
Instagram
Book Appointment
(03) 6224 7666
General and Aesthetic Dentistry
174 Macquarie St, Hobart, 7000
Menu
Call
Book Now
Map
Home
About
Our Team
Office Pictures
Services
View All
Orthodontic Consultation - Full Banding (braces) for children 8-10 years
Professional Teeth whitening
General Dental
Crowns and Bridges
Veneers
Fillings
Dental Extractions
Dental Implants
Children's Dentistry
Family Dentistry
Referrals
Acrylic Items
Root Canal treatment
Dentures
Emergency Dentistry
Smile Gallery
Patient Info
View Patient Info
Financial
Specials
FAQs
Contact
Crotty Dental
>
Smile Gallery
>
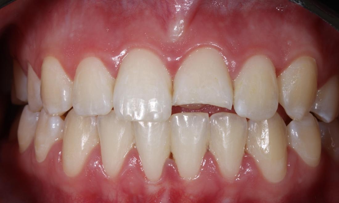
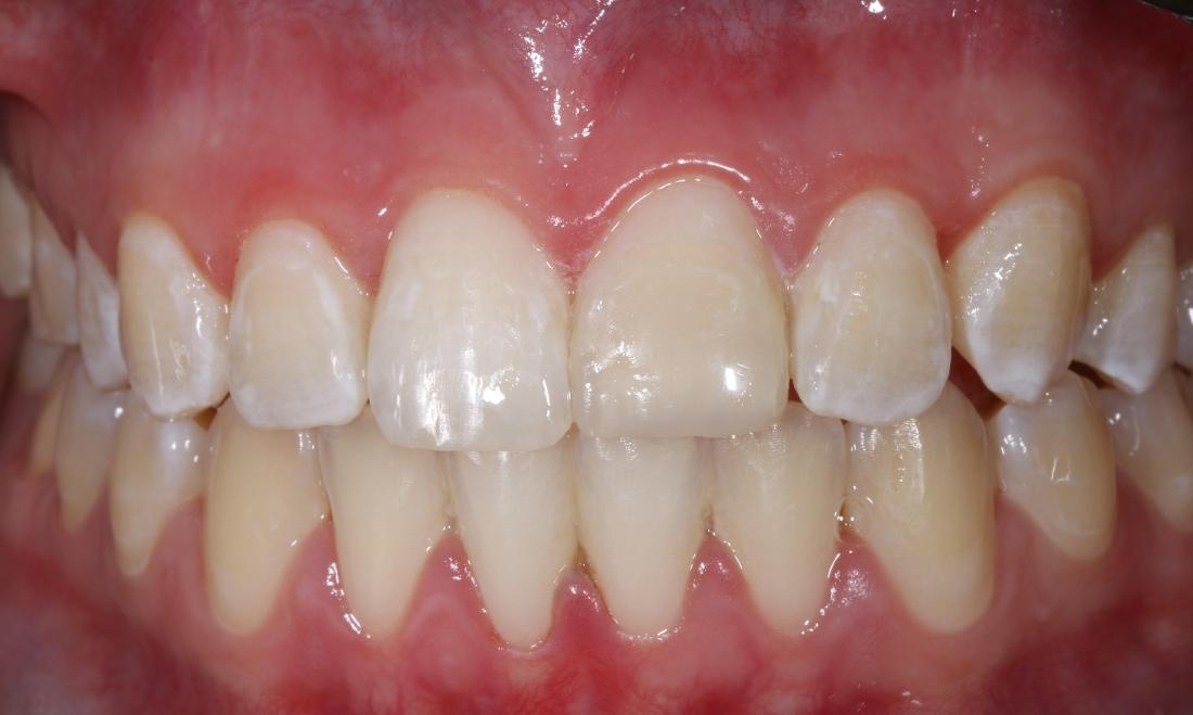
Front Filling
Front Filling
Return to Smile Gallery
Previous
Next
Related Services:
Fillings
Click image to see a larger picture
Before
After
Ready to book an appointment?
Book Online
OK!
×
×
Contact Us Today
Give Us A Call
Crotty Dental -
(03) 6224 7666
Send Us an Email
Ready to Schedule an Appointment?
Book Now
Have Questions? Contact Us:
Required Field
Your Name:
Phone:
Email:
Are you a new patient?:
Are you a?
New Patient
Current Patient
How would you like us to contact you?
Please choose
Email
Call
How did you hear about us?
Please choose
I'm an existing patient
Google/Bing
Mailer
Word of mouth
Social media
Other
Who Referred You?:
Your Message:
This site is protected by reCAPTCHA and the Google
Privacy Policy
and
Terms of Service
apply.
Sending...
×
This Patient's Experience
Loading Testimonial...
Loading Case...